原標題:十堰女子突然腰疼,一查竟是這種罕見疾?。乐乜芍滤?/p>
腰痛的成因多樣,除了局部受涼、勞累過度以及腰間盤突出腰肌勞損等常見疾病外,還有一種罕見的疾病,發病率僅有0.02%~0.03%,嚴重時會導致癱瘓、死亡。近日,十堰一名56歲女子因腰痛入院,,檢查結果把她嚇壞了...

女子腰痛伴行動受限入院
一查竟是椎管內膿腫
去年5月上旬,56歲的鐘女士(化姓)突然感覺雙側腰部間歇性疼痛,伴隨右側下肢無力。起初她以為是“岔氣了”,可嘗試了3天拔火罐、做按摩、貼膏藥等治療后,癥狀不僅未得到緩解,疼痛感反而在夜間更加劇烈。無奈之下,鐘女士來到十堰市人民醫院尋求治療。
經過腰椎CT檢查顯示,鐘女士L5-S1段椎間盤膨出并突出,醫生初步考慮為常規的腰間盤突出癥。經過三天的保守治療,鐘女士的癥狀稍有緩解。十堰市人民醫院脊柱外科2病區主任王偉建議她,為了保險起見,再進行一次腰椎核磁檢查,以徹底排除其他疾病的風險。

沒想到,核磁檢查結果顯示出現強烈的異常信號,鐘女士椎體部位存在很大的感染性病變的可能。結合抽血感染指標檢查顯示,導致鐘女士腰痛的“元兇”,竟是罕見的椎間盤感染、椎管內膿腫。
得知該病發病率僅有0.02%~0.03%,鐘女士怎么也不明白自己為啥會不幸“中招”。王偉介紹,椎管內膿腫的成因是細菌經過血液傳播到脊柱以后,在椎體內或椎體周圍“安家落戶”,引起椎體、椎間盤破壞。結合鐘女士有多年糖尿病史推斷,她是因免疫力大幅下降,使疾病“趁虛而入”。

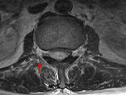
箭頭所指為鐘女士腰1至骶1節段膿腫

箭頭所指處可看出,受壓最嚴重部位脊髓已被擠壓成薄片狀
針對鐘女士的病情,王偉和其家屬詳細溝通,表示鐘女士椎間盤感染、椎管內膿腫屬于深部組織感染,椎管內細菌蔓延態勢迅速。向下蔓延會壓迫脊髓神經,導致癱瘓;向上蔓延到腦部,則很可能導致死亡,必須盡快手術。

考慮到鐘女士身患基礎病,恐無法耐受大開刀手術,脊柱外科團隊決定采取微創手術——單側雙通道內鏡手術。通過幾個小切口的通道,在椎板一側打孔,來完成對向雙側膿腫的清理。

王偉在為患者進行術前定位
一切準備就緒后,脊柱外科團隊在王偉的帶領下,用了4個小時,為鐘女士順利開展雙通道內鏡下椎間隙病灶清理+椎管內膿腫清理+置管沖洗術,搭配萬古霉素等抗感染藥物輔助治療。術后鐘女士的感染指標很快下降至安全范圍內,術后兩周即可下地行走。3個月后來院復查,各項檢查結果均已正常。
王偉提醒廣大市民朋友,腰部疼痛如果伴隨發燒癥狀,切勿自行拔罐推拿,最好及時到醫院就診,避免延誤治療時機導致病情進一步加重。

男子腰痛伴尿頻發燒
內鏡下組合術式消除其病癥
今年5月中旬,66歲的陳先生突發雙側腰痛,夜尿明顯增多,沒過兩天還發燒至39.5℃。在當地縣醫院打抗感染針2天后癥狀仍未緩解。5月21日,陳先生來到十堰市人民醫院就診。
經過脊柱CT檢查,陳先生椎間盤突出伴局部椎管狹窄、椎間孔狹窄,轉入脊柱外科進一步檢查。

箭頭所指為患者3、4椎體,呈蟲蝕樣骨質破壞,考慮感染所致
王偉了解到,陳先生從事肉類加工工作,長期接觸生肉。他感覺到陳先生絕不會是腰椎間盤突出那么簡單,而很有可能是布氏菌病腰椎感染。通過炎癥指標化驗、細菌、結核桿菌和布氏菌病抗體四項等相關檢查,結果證實了王偉的推斷。
王偉介紹,布氏菌是一種常見的動物性傳染病,牛、羊、豬等畜類易感。一旦人接觸到受感染的動物,也可能會被感染。臨床表現為發燒、多汗、乏力、關節痛、腰痛、肝脾腫大等。
針對陳先生的病癥,王偉通過評估決定行雙通道內鏡下病灶清理+置管沖洗引流術。術中僅用兩個1.5cm左右的小切口就為陳先生順利清理了椎管內、椎間隙大量膿性分泌物,實現“小、微、精、準”的手術特色。經持續沖洗1周后,陳先生能戴著護腰下地活動,2周后順利出院。

王偉介紹,該例病癥的主要誘因是畜類接觸史,或食用了含菌的水以及奶制品等。提醒大家在生活中一定要多加注意,防止病從口入,相關從業者工作期間一定要積極做好預防。

王偉 十堰市人民醫院脊柱外科2病區主任
醫學博士 主任醫師
微創脊柱外科專家,從事脊柱外科16年,熟練開展椎間孔鏡技術。在十堰地區最早開展雙通道內鏡微創技術(UBE),善于應用雙通道內鏡微創治療復雜腰椎間盤突出、嚴重椎管狹窄、腰椎滑脫、頸椎病等。近年來針對人口老年化及頸肩腰腿疼痛多發,科室大力發展脊柱內鏡微創技術,打造脊柱康復及脊柱內鏡微創技術品牌。目前脊柱退行性疾?。ㄗ甸g盤突出、椎管狹窄、腰椎滑脫、頸椎病、術后復發)微創全覆蓋,90%病例均采用微創技術治療??剖衣摵蠂鴥燃笆葘<议_展公益會診咨詢,針對脊柱復雜疑難病例、保守治療效果不好、術后效果不好、術后復發等相關病例進行分析會診。
咨詢電話:18772781980
坐診時間:周四全天
坐診地址:十堰市人民醫院門診2樓骨科中心脊柱外科門診











